Dobrý den,

Vítám Vás na stránce

Pro zdravější úsměvy

O Mně
img

O Mně

Studentka dentální hygieny

Vítám Vás na mých webových stránkách. Jmenuji se Natalie a jsem studentkou oboru diplomovaná dentální hygienistka na Vyšší odborné škole v Nymburce. Tyto stránky jsou vytvořeny na základě mé absolventské práce jako praktická část. Úkolem této webové stránky je seznámit širokou veřejnost s dentální hygienou, protože se neustále setkávám s lidmi, kteří na vyšetření u dentální hygienistky nikdy nebyli a mnozí ani netuší, co taková dentální hygienistka dělá. Budu moc ráda, když tyto stránky přispějí ke zvýšení Vašeho povědomí a motivují Vás k návštěvě ordinace dentální hygienistky.

Návštěva dentální hygienistky

Návštěva dentální hygienistky

Dentální hygienistka

Dentální hygienistka je nelékařský zdravotnický pracovník, který je součástí dentálního týmu. To znamená, že úzce spolupracuje se zubním lékařem. Dentální hygienistka se snaží předcházet onemocněním zubů, (například zubní kaz) a onemocněním parodontu, tj. např. zánět dásní a paradontitida (lidově parodontóza). Dentální hygienistka Vás naučí, jak si správně čistit zuby a poradí s nezbytnými dentálními pomůckami, jako jsou mezizubní kartáčky. Vytvoří Vám vhodné prostředí v dutině ústní pro vykonávání individuální dentální hygieny (tj. odstranění nánosu zubního plaku a kamene ze zubů včetně poddásňového prostoru).

Výkony dentální hygienistky

- V první návštěvě Vás vyšetří a zkontroluje stav Vašich dásní, parodontu, zubů a celkové dentální hygieny pomocí různých indexů. Naplánuje Vám plán léčby.

- Odstraní nánosy zubního plaku a kamene z povrchu zubů a z poddásňového prostoru.

- V některých případech může dentální hygienistka používat air flow – pískovačku. Air flow se používá k odstranění zubního plaku a pigmentací z čaje, kávy, červeného vína, kouření atd.

- Vyleští Vám zuby speciálními leštícími pastami a depuračními kartáčky.

- Nasměruje Vás ke správné péči o Vaši dutinu ústní. Vysvětlí Vám problémy, které se Vás týkají nebo by se Vás mohly týkat v budoucnu.

- Naučí Vás používat správné dentální pomůcky, vysvětlí Vám, jak má vybrat správný kartáček, proč je nezbytné zařadit k zubnímu kartáčku i mezizubní pomůcky, jak vypadá správná technika čištění zubů atd.

Estetické výkony

- Bělení zubů

- Lepení šperku na zub

- Air flow (v některých ordinacích je součástí ošetření)

Proč pravidelně navštěvovat dentální hygienistku?

V dnešní době se dentální hygiena stává nezbytnou součástí stomatologických prohlídek. Dentální hygiena pomáhá předcházet problémům, které by následně musel řešit Váš zubní lékař. Lidé si často říkají, že dentální hygiena je velice drahá záležitost. Zamysleme se společně, zda jsou nákladnější pravidelné návštěvy dentální hygienistky nebo nutné výkony u zubaře, jako jsou výplně, endodontické ošetření, zubní náhrady, kvůli špatné dentální hygieně? Díky pravidelnému navštěvování dentální hygienistky se můžete vyhnout zubním kazům, krvácení dásní, zápachu z úst a ostatním problémům jako je například vypadávání zubů kvůli parodontitidě – lidově parodontóze.

Individuální dentální hygiena

Individuální dentální hygiena je péče o dutinu ústní, kterou každý provádí sám doma. Správná individuální dentální hygiena je nezbytná pro funkčnost lidského chrupu. Zahrnuje odstranění zubního plaku a zbytků potravy z dutiny ústní. V dnešní době máme na trhu spoustu dentálních pomůcek, ale musíme si dát pozor na výběr těch správných.

Zubní kartáček

Zubní kartáček je nezbytná pomůcka individuální dentální hygieny. Víte, jak by správný kartáček měl vypadat?

- Rovně střižená vlákna (kartáček čistí celou plochou)

- Měkký (zabraňuje poškození zubů a dásní)

- Malá hlavička (dobrá manipulace)

- Bez gumových prvků

Zubní kartáček by se měl měnit 1x za 3 měsíce nebo po nemoci.

img

Nesprávný zubní kartáček

Zubní kartáček je nezbytná pomůcka individuální dentální hygieny. Víte, jak vypadá nesprávný kartáček?

- Různě střižená vlákna (kartáček čistí pouze nejdelšími štětinami)

- Tvrdý (poškozuje zuby a dásně)

- Roztřepený (špatná manipulace)

- S gumovými prvky a ozdobami (bez funkce)

Zubní kartáček by se měl měnit 1x za 3 měsíce nebo po nemoci.

img

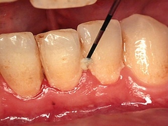
Mezizubní kartáčky

Mezizubní kartáčky jsou druhou nezbytnou pomůckou individuální dentální hygieny. Spoustu lidí si neuvědomuje, že je důležité si čistit mezizubní prostory. Samostatný zubní kartáček vyčistí pouze vnitřní, vnější a kousací plochy zubu. Co ale ty mezizubní plochy? Kvůli nepoužívání mezizubních kartáčků vznikají mezizubní kazy, které jsou velice špatně ošetřitelné. Vzniká také zánět dásní kvůli hromadění plaku v mezizubí. Také si hodně lidí myslí, že se jim mezizubní kartáček do mezizubních prostor nevejde. To je většinou omyl. Proto je důležité navštívit dentální hygienistku, která Vám poradí a změří velikosti mezizubních kartáčků. Velikost mezizubního kartáčku je důležitá, protože malým kartáčkem si mezizubní prostor perfektně nevyčistíte.

img

Dentální nit

Dentální nit je také mezizubní pomůcka, ale nenahradí mezizubní kartáček. Dentální nit nám není schopna vyčistit podsekřivý prostor v zadním úseku chrupu. Používá se tam, kde jsou zuby stěsnané a mezizubní kartáček se tam nevejde.

img

Správná technika čištění zubů

Jak správně čistit zuby

Zubní kartáček nasadit ,,půl zub, půl dáseň‘‘

Sklonit zubní kartáček pod úhlem 45° (směrem k dásňovému žlábku)

Čištění provádíme drobnými vibračními kroužky

Na každém zubu napočítáme alespoň do 10

Vytvoříme si systém čištění -> začínáme odzadu a postupujeme zub po zubu.
Vždy dodržujeme stejný postup

Při čistění vnitřních plošek předních zubů skláníme kartáček vertikálně ( na stojato)

Zubní pasty stačí malé množství

Čistíme zuby tak dlouho, dokud nejsou zcela hladké ( kontrola jazykem)

Správná technika čištění zubů

Problémy v dutině ústní

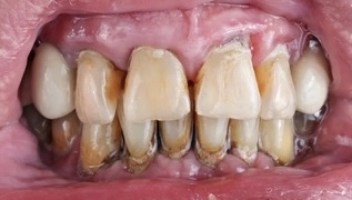
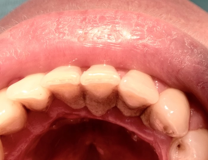
Zubní plak

zubní plak je žlutobílý měkký povlak na povrchu zubu a zubních náhradách. Obsahuje bakterie, které nám často mohou způsobovat problémy, pokud se včas neodstraní. Těmito problémy jsou nejčastěji zubní kazy, záněty dásní a paradontitida (lidově parodontóza). Zubní plak lze odstranit pouze mechanicky zubním kartáčkem. Ústní vody, pasty, žvýkačky ani proud vody nám plak zcela nevyčistí. Proto je pravidelné čištění zubů tak důležité.

img

Zubní kámen

Zubní kámen je ztvrdlý a zmineralizovaný zubní plak. Někomu se tvoří rychleji, což je ovlivněno složením a charakterem slin. Zubní kámen nelze odstranit doma kartáčkem, pouze profesionálními nástroji u dentální hygienistky nebo zubního lékaře.

img

Zubní kaz

zubní kaz je nejrozšířenější onemocněním, postihuje zhruba 90% populace. Je to proces, při kterém dochází k narušení tkání zubů. Způsobují ho kyseliny produkované mikroorganismy obsaženými v zubním plaku. Prevence zubního kazu spočívá v dodržování zásad správné dentální hygieny.

img

Zánět dásní

je nejčastějším onemocněním dásní. Zánět dásní se projevuje krvácením, otokem a zarudnutím dásní. Pokud při čištění zubů plivete krev, nebo Vám teče krev při používání mezizubních kartáčků, trpíte nejpravděpodobněji zánětem dásní. Zánět dásní je opět nejčastěji způsobený přítomností zubního plaku. Jedná se o zvratné onemocnění, které se dá vyléčit. Stačí dodržovat zásady správné dentální hygieny a pravidelné návštěvy dentální hygienistky.

img

Parodontitda (lidově parodontóza)

je zánět závěsného aparátu zubu. Závěsný aparát zubu se skládá z dásně, vazů, cementu a alveolární kosti. Tyto tkáně fixují zub v zubním lůžku. Vede k úbytku těchto tkání a v nejhorším stádiu hrozí odloučení zubu z alveolárního lůžka (vypadnutí zubu). Tento stav je další fáze zánětu dásní. Na rozdíl od zánětu dásní je paradontitida nezvratná. Nedá se vyléčit, ale je možné zastavit destrukci. Parodontitida se projevuje zánětem dásní, úbytkem tkání závěsného aparátu. V horších případech se projevuje pohyblivostí a putováním zubů, zápachem z úst. Opět řešení spočívá v dodržování zásad správné dentální hygieny a pravidelnosti kontrol u dentální hygienistky.

img

Mýty o dentální hygieně

,,Používání mezizubních kartáčků není zdravé, protože mi z nich krvácejí dásně."

NE! Dásně vám krvácejí kvůli zánětu, který se vytvoří za přítomnosti zubního plaku. Díky používáním mezizubních kartáčků vám dásně do pár týdnů přestanou krvácet

,,Tvrdší kartáček mi vyčistí zuby lépe."

NE! Tvrdý kartáček poškozuje dásně a zubní sklovinu

,,Mezizubní kartáčky mi způsobily mezery mezi zuby, které jsem dřív neměl."

NE! Po pár dnech používání mezizubních kartáčků se vám může zdát, že máte mezi zuby větší mezeru. Tento prostor se vytvoří díky splasknutí otoku -> vytvoří se vám fyziologický prostor bez zánětu

,,Mezizubní kartáčky nepotřebuju, můj děda je taky nepoužíval."

NE! Pokud se nečistí mezizubní prostory, vzniká zánět dásní, v mezizubním prostoru se vytvoří zubní kámen a následně může vzniknout paradontitida – parodontóza

,,Kazí se mi zuby dědičně."

NE! Zuby se kazí, protože jsou špinavé.

,,Čistím si zuby žvýkačkami."

NE! Zuby lze vyčistit pouze mechanicky zubním kartáčkem a správnou technikou

,,Zubní pasty a ústní vody čistí zuby za kartáček ."

NE! Zuby lze vyčistit pouze mechanicky zubním kartáčkem a správnou technikou. Nevěřte reklamě, věřte odborníkovi.

Desatero zdravých zubů

10 pravidel zdravého úsměvu

1) Výběr správného zubního kartáčku

2) Správné používání zubního kartáčku

3) Čištění zubním kartáčkem min. 2x denně

4) Používání mezizubních pomůcek min. 1x denně

5) Zuby nejsou čisté, dokud nejsou hladké ( kontrola jazykem) -> 3 minuty nestačí

6) Zubní pasta je doplněk čištění = důležitý je obsah fluoru-> Fluor = posiluje zub

7) Čistý zub se nekazí

8) Zdravá dáseň nekrvácí

9) Zubní plak lze odstranit pouze mechanicky

10) Pravidelné návštěvy zubního lékaře a dentální hygienistky

Domů